คณะแพทยศาสตร์ มหาวิทยาลัยเชียงใหม่ ประสบความสำเร็จ เปลี่ยนลิ้นหัวใจไมตรัลเทียมตัวใหม่ แทนที่ตัวเก่า ผ่านทางสายสวน เป็นรายแรกในระดับภูมิภาค
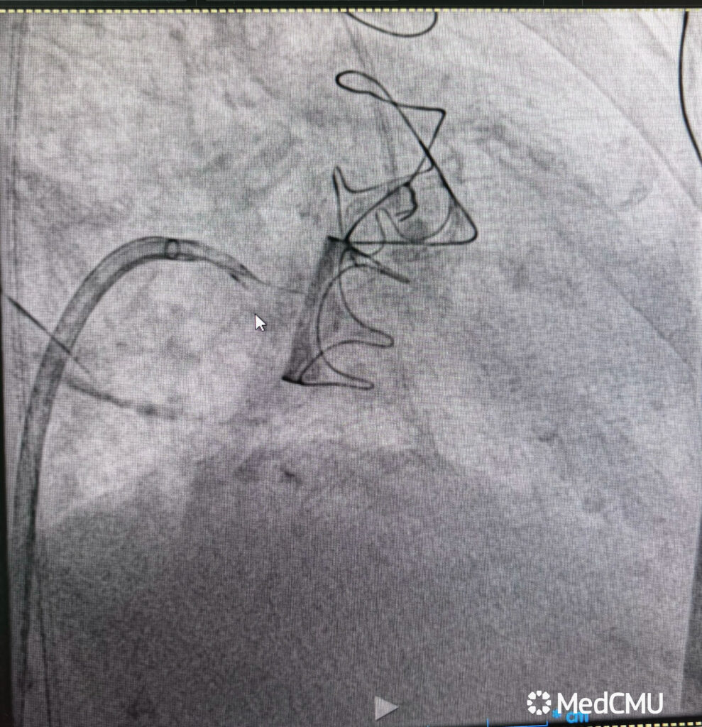
คณะแพทยศาสตร์ มหาวิทยาลัยเชียงใหม่ ประสบความสำเร็จในการรักษาผู้ป่วยหญิงไทย วัย 83 ปี ด้วยเทคนิคการเปลี่ยนลิ้นหัวใจไมตรัลเทียมตัวใหม่ แทนที่ตัวเก่าที่เสื่อมสภาพ ผ่านทางสายสวน โดยเทคนิคการตัดลิ้นหัวใจอันเดิม (LAMPOON – Laceration of the Anterior Mitral Leaflet to Prevent Outflow Obstruction) ถือเป็นรายแรกในระดับภูมิภาคของประเทศไทย ที่มีการทำหัตถการดังกล่าว และเป็นความก้าวหน้าสำคัญในการดูแลผู้ป่วยโรคหัวใจซับซ้อน
ผู้ป่วยรายนี้เคยเข้ารับการผ่าตัดเปลี่ยนลิ้นหัวใจไมตรัลชนิดเนื้อเยื่อมาแล้วเมื่อ 15 ปีก่อน แต่ภายหลังเกิดการตีบซ้ำ ส่งผลให้มีอาการหัวใจวายเฉียบพลันหลายครั้งในรอบสองเดือนที่ผ่านมา การรักษาด้วยวิธีมาตรฐานต้องอาศัยการผ่าตัดเปิดทรวงอกเพื่อเปลี่ยนลิ้นหัวใจเทียมชิ้นใหม่ ซึ่งมีความเสี่ยงสูงมากในผู้สูงอายุ คณะแพทยศาสตร์ มหาวิทยาลัยเชียงใหม่ จึงได้บูรณาการความเชี่ยวชาญของทีมแพทย์ด้านหัวใจ (Heart team) เพื่อใช้เทคนิคใหม่ที่ปลอดภัยกว่าและเลี่ยงการผ่าตัดใหญ่
การผ่าตัดครั้งนี้นำโดย อ.พญ.ทรรศลักษณ์ ทองหงษ์ หน่วยโรคหัวใจและหลอดเลือด ภาควิชาอายุรศาสตร์ ร่วมกับ รศ.นพ.นพพล ทักษอุดม หน่วยศัลยศาสตร์ทรวงอก หัวใจและหลอดเลือด ภาควิชาศัลยศาสตร์ และ อ.นพ.รังสฤษฎ์ กาญจนะวณิชย์ อายุรแพทย์โรคหัวใจ และที่ปรึกษาศูนย์ความเป็นเลิศทางการแพทย์ คณะแพทยศาสตร์ มหาวิทยาลัยเชียงใหม่ โดยมีทีมแพทย์ผู้เชี่ยวชาญจาก Cheng Hsin General Hospital, Taipei ได้แก่ Wei-Hsien Yin, MD, Yung-Tsia Lee, MD และ Huan-Chiu Lin, MD รวมทั้งทีมแพทย์สหสาขา ได้แก่ ทีมอายุรแพทย์โรคหัวใจเฉพาะทางด้านการทำหัตถการ (Intervention cardiology team), ทีมศัลยแพทย์หัวใจ (Cardiac surgery team), ทีมวิสัญญีแพทย์ (Anesthesiology team) และทีมพยาบาลห้องปฏิบัติการสวนหัวใจและห้องผ่าตัด ที่ประสานงานกันอย่างใกล้ชิดเพื่อดูแลผู้ป่วยอย่างรอบด้าน
อ.พญ.ทรรศลักษณ์ ทองหงษ์ เปิดเผยว่า “เทคนิค LAMPOON ถือเป็นก้าวใหม่ของหัตถการในการรักษาภาวะแทรกซ้อนของการใส่ลิ้นหัวใจเทียม เนื่องจากต้องอาศัยความแม่นยำสูงในการเลาะพังผืดและกรีดลิ้นหัวใจเดิม เพื่อป้องกันการอุดกั้นทางออกของหัวใจ การทำหัตถการนี้ต่างจากการเปลี่ยนลิ้นหัวใจด้วยสายสวนแบบทั่วไป เพราะผู้ป่วยมีลิ้นหัวใจเทียมชนิดเก่าอยู่แล้วซึ่งเสื่อมสภาพจนทำให้เกิดภาวะแทรกซ้อน ซึ่งหากเป็นวิธีการเดิม ผู้ป่วยจำเป็นต้องรับการผ่าตัดเปิดทรวงอกซ้ำซึ่งมีความเสี่ยงสูงมาก แต่ในครั้งนี้ ทีมแพทย์สามารถทำได้สำเร็จ และผู้ป่วยฟื้นตัวได้โดยไม่ต้องเปิดทรวงอก ถือเป็นก้าวสำคัญในการดูแลผู้ป่วยหัวใจที่ซับซ้อน”
รศ.นพ.นเรนทร์ โชติรสนิรมิต คณบดีคณะแพทยศาสตร์ มหาวิทยาลัยเชียงใหม่ กล่าวว่า “ผู้ป่วยรายนี้มีความซับซ้อนทางโรคหัวใจสูง ทั้งจากการผ่าตัดหัวใจมาก่อนและภาวะเสื่อมของลิ้นหัวใจเทียมเดิม การบูรณาการความรู้จากทีมแพทย์ผู้เชี่ยวชาญในหลายแขนงของคณะแพทยศาสตร์ มช. รวมถึงเครือข่ายแพทย์จากไต้หวัน ทำให้สามารถใช้เทคนิค LAMPOON ผ่านสายสวนแทนการผ่าตัดเปิดอกได้สำเร็จลุล่วงไปด้วยดี ซึ่งความสำเร็จนี้ แสดงให้เห็นถึงศักยภาพในการพัฒนานวัตกรรมการรักษาโรคหัวใจขั้นสูงในประเทศไทย ไม่เพียงแต่จะช่วยชีวิตผู้ป่วยได้ แต่ยังเป็นประโยชน์ต่อการพัฒนาการคณะแพทยศาสตร์ มช. และวงการแพทย์ไทยในอนาคต”
ความสำเร็จครั้งนี้สะท้อนถึงความพร้อมและศักยภาพของคณะแพทยศาสตร์ มหาวิทยาลัยเชียงใหม่ ในการนำเทคโนโลยีและนวัตกรรมการรักษาโรคหัวใจขั้นสูงมาใช้ เพื่อยกระดับคุณภาพชีวิตและเพิ่มโอกาสรอดชีวิตให้กับผู้ป่วยในประเทศไทย
#LAMPOON #MedCMU #คณะแพทยศาสตร์มหาวิทยาลัยเชียงใหม่ #แพทย์เชียงใหม่ #แพทย์มช #หมอสวนดอก #แพทย์สวนดอก #โรงพยาบาลสวนดอก #MedCMUในมือคุณ #สื่อสารองค์กรMedCMU










ร่วมแสดงความคิดเห็น